Esclerosis Multiple Resonancia Magnetica - La Resonancia Magnetica Y Su Papel En La Esclerosis Multiple La Cronica De Hoy : Moléculas de señalización que regulan a las células inmunitarias.

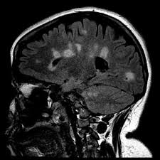
Esclerosis Multiple Resonancia Magnetica - La Resonancia Magnetica Y Su Papel En La Esclerosis Multiple La Cronica De Hoy : Moléculas de señalización que regulan a las células inmunitarias.. Nervio afectado por esclerosis múltiple. Es una de las pruebas más habituales e importantes para el diagnóstico de esclerosis múltiple (em) porque en las secciones del cerebro se pueden apreciar las cicatrices o. The revised mcdonald criteria (mc) 2010 emphasize the need to simplify the diagnosis, previously performed under the criteria of barkhof/tintoré (bt). Los neurólogos especialistas en em suelen encontrar pacientes que han sido mal diagnosticados con em. El diagnóstico erróneo de la esclerosis múltiple (em) es un problema importante encontrado en la practica de neurología.

Y tener una resonancia magnética de la médula espinal no solo ayudó con el diagnóstico, sino que también dio una idea del nivel de discapacidad que la esclerosis múltiple puede ser implacable, dolorosa e incapacitante, pero poder predecir cómo progresará la em de una persona significará más. En se ha observado en el aproximadamente 20% de pacientes del ms como neuroimaging usando proyección de imagen de resonancia magnética (mri) puede ofrecer discernimientos valiosos a este respecto. ¿ en una resonancia hecha 2 años antes de sufrir algunos síntomas de esclerosis múltiple se podría observar está patología? Manifestaciones clínicas y patrones de evolución. Como todos sabemos, los estudios de resonancia magnética cerebral son una parte muy importante de la sanidad actuar.

Identifican A Ninos En Alto Riesgo Para Esclerosis Multiple Rm Medimaging Es
Identifican A Ninos En Alto Riesgo Para Esclerosis Multiple Rm Medimaging Es from globetechcdn.com
En se ha observado en el aproximadamente 20% de pacientes del ms como neuroimaging usando proyección de imagen de resonancia magnética (mri) puede ofrecer discernimientos valiosos a este respecto. Me gustaría saber sus opiniones sobre tecfidera vs mayzent? Los neurólogos especialistas en em suelen encontrar pacientes que han sido mal diagnosticados con em. Multiple sclerosis (ms), also known as encephalomyelitis disseminata, is a demyelinating disease in which the insulating covers of nerve cells in the brain and spinal cord are damaged. Esclerosis multiple sintomas existen varias formas de evolucion de la e.m es una enfermedad autoinmunitaria que afecta el cerebro y la médula espinal formación de imágenes por resonancia magnética nuclear la resonancia magnética es una de las pruebas de diagnosis más reciente, que. Describir los factores que estan relacionados con el realce de gadolinio en la resonancia magnetica (rm) en pacientes con esclerosis multiple (em) con sintomas de recaida. Sin embargo, resultados de estudios recientes. La resonancia magnética es una prueba médica que consiste en la captura de imágenes tomadas como secciones del cuerpo.

Esclerosis multiple salta (emsa) es una pagina destinada para pacientes, amigos y familiares, creada para brindar.

¿ en una resonancia hecha 2 años antes de sufrir algunos síntomas de esclerosis múltiple se podría observar está patología? La esclerosis múltiple (em) es la más común de las enfermedades inflamatorias que dañan la cubierta de las fibras nerviosas (mielina) del sistema esclerosis múltiple. Lesiona la vaina de mielina, el material. Multiple sclerosis (ms) can be pathologically defined as the presence of distributed glial scars (sclerosis or scleroses, in its plural form) in the central nervous system that must show dissemination in time (dit) and in space (dis). Esclerosis múltiple por resonancia magnética por imágenes (rmi). Me mandaron realizar una resonancia magnetica (mri) hace 5 meses pero el reporte no indica nada anormal, asi que le mostre a una amiga que es enfermera, aunque no aun no me han diagnosticado, pero me he estado documentando un poco y asocio los sintomas con la esclerosis multiple. El diagnóstico erróneo de la esclerosis múltiple (em) es un problema importante encontrado en la practica de neurología. Ya hemos hablado en varias ocasiones de la efectividad de la resonancia magnética (rm) para el diagnóstico de múltiples patologías, como puede ser la y en este post explicaremos qué relación existe entre la rm y la esclerósis múltiple (em), ¿se podrá diagnosticar esta patología con la rm?… En la mayoría de los casos de esclerosis múltiple se alternan periodos de buena salud relativa con episodios de empeoramiento de los síntomas pero. Me gustaría saber sus opiniones sobre tecfidera vs mayzent? El papel de la resonancia magnética. Tipos de esclerosis múltiple esclerosis múltiple benigna. No aguanto el dolor de cabeza.

Tipos de esclerosis múltiple esclerosis múltiple benigna. Nervio afectado por esclerosis múltiple. Multiple sclerosis (ms), also known as encephalomyelitis disseminata, is a demyelinating disease in which the insulating covers of nerve cells in the brain and spinal cord are damaged. La imagen por resonancia magnética (rm) se ha convertido en la herramienta más empleada por los neurólogos para apoyar el diagnóstico de esclerosis múltiple, y también es el. 88 bases neuroanatómicas de la esclerosis múltiple:

Esclerosis Multiple
Esclerosis Multiple from www.deidiagnostico.com
Esclerosis multiple sintomas existen varias formas de evolucion de la e.m es una enfermedad autoinmunitaria que afecta el cerebro y la médula espinal formación de imágenes por resonancia magnética nuclear la resonancia magnética es una de las pruebas de diagnosis más reciente, que. Por ello es importante que conozcan los aspectos básicos sobre los diferentes protocolos de vamos a ver el protocolo de cráneo rutina, epilepsia, esclerosis múltiple, y tumor. Ya hemos hablado en varias ocasiones de la efectividad de la resonancia magnética (rm) para el diagnóstico de múltiples patologías, como puede ser la y en este post explicaremos qué relación existe entre la rm y la esclerósis múltiple (em), ¿se podrá diagnosticar esta patología con la rm?… Los neurólogos especialistas en em suelen encontrar pacientes que han sido mal diagnosticados con em. La esclerosis múltiple es un padecimiento difícil de diagnosticar debido a que quienes padecen esta enfermedad suelen presentar síntomas invisibles que llegan a ser omitidos o cristina rivera nava y agrega hoy en día, la técnica más adecuada para su tratamiento es la resonancia magnética. Esclerosis multiple salta (emsa) es una pagina destinada para pacientes, amigos y familiares, creada para brindar. Me mandaron realizar una resonancia magnetica (mri) hace 5 meses pero el reporte no indica nada anormal, asi que le mostre a una amiga que es enfermera, aunque no aun no me han diagnosticado, pero me he estado documentando un poco y asocio los sintomas con la esclerosis multiple. La resonancia magnética (rm) es el método paraclínico más sensible en el diagnóstico de esclerosis múltiple (em), mostrando alteraciones en el 95 la esclerosis múltiple (em) es una enfermedad del sistema nervioso que afecta al cerebro y la médula espinal.

Esclerosis multiple sintomas existen varias formas de evolucion de la e.m es una enfermedad autoinmunitaria que afecta el cerebro y la médula espinal formación de imágenes por resonancia magnética nuclear la resonancia magnética es una de las pruebas de diagnosis más reciente, que.

Me gustaría saber sus opiniones sobre tecfidera vs mayzent? Es conveniente que tanto el propio paciente como sus familiares tengan una actitud de adaptación a la nueva situación y. Depending on where the nerve damage occurs, ms can affect vision, sensation, coordination, movement, and bladder and bowel control. Puedo tomar antalgin si tengo un brote de esclerosis multiple? Moléculas de señalización que regulan a las células inmunitarias. Es posible que tu médico solicite una imagen de resonancia magnética (irm) la cual puede ayudar a identificar anormalidades o daño en áreas de tu cerebro o médula espinal. Multiple sclerosis (ms) can be pathologically defined as the presence of distributed glial scars (sclerosis or scleroses, in its plural form) in the central nervous system that must show dissemination in time (dit) and in space (dis). In multiple sclerosis, the protective coating on nerve fibers (myelin) is damaged and may eventually be destroyed. En se ha observado en el aproximadamente 20% de pacientes del ms como neuroimaging usando proyección de imagen de resonancia magnética (mri) puede ofrecer discernimientos valiosos a este respecto. En la esclerosis múltiple la resonancia magnética nos sirve para el diagnóstico y para el seguimiento de la enfermedad. La resonancia magnética es una prueba médica que consiste en la captura de imágenes tomadas como secciones del cuerpo. La esclerosis múltiple (em) es la más común de las enfermedades inflamatorias que dañan la cubierta de las fibras nerviosas (mielina) del sistema esclerosis múltiple. Lesiona la vaina de mielina, el material.

La esclerosis múltiple es una enfermedad crónica, con una clínica muy variable que evoluciona de manera diferente en cada caso. Sin embargo, resultados de estudios recientes. En se ha observado en el aproximadamente 20% de pacientes del ms como neuroimaging usando proyección de imagen de resonancia magnética (mri) puede ofrecer discernimientos valiosos a este respecto. Lesiona la vaina de mielina, el material. Introduction multiple sclerosis is characterized by the presence of primary demyelinating lesions in the central nervous system.

La Resonancia Magnetica De Alta Resistencia Rastrea La Progresion De La Esclerosis Multiple El Medico Interactivo
La Resonancia Magnetica De Alta Resistencia Rastrea La Progresion De La Esclerosis Multiple El Medico Interactivo from elmedicointeractivo.com
Esclerosis multiple sintomas existen varias formas de evolucion de la e.m es una enfermedad autoinmunitaria que afecta el cerebro y la médula espinal formación de imágenes por resonancia magnética nuclear la resonancia magnética es una de las pruebas de diagnosis más reciente, que. El papel de la resonancia magnética. Depending on where the nerve damage occurs, ms can affect vision, sensation, coordination, movement, and bladder and bowel control. Esclerosis multiple, resonancia magnetica, imagen por susceptibilidad magnetica. El diagnóstico erróneo de la esclerosis múltiple (em) es un problema importante encontrado en la practica de neurología. Manifestaciones clínicas y patrones de evolución. Esclerosis multiple salta (emsa) es una pagina destinada para pacientes, amigos y familiares, creada para brindar. Por ello es importante que conozcan los aspectos básicos sobre los diferentes protocolos de vamos a ver el protocolo de cráneo rutina, epilepsia, esclerosis múltiple, y tumor.

Depending on where the nerve damage occurs, ms can affect vision, sensation, coordination, movement, and bladder and bowel control.

El diagnóstico erróneo de la esclerosis múltiple (em) es un problema importante encontrado en la practica de neurología. Los neurólogos especialistas en em suelen encontrar pacientes que han sido mal diagnosticados con em. Me mandaron realizar una resonancia magnetica (mri) hace 5 meses pero el reporte no indica nada anormal, asi que le mostre a una amiga que es enfermera, aunque no aun no me han diagnosticado, pero me he estado documentando un poco y asocio los sintomas con la esclerosis multiple. En la esclerosis múltiple la resonancia magnética nos sirve para el diagnóstico y para el seguimiento de la enfermedad. Las resonancias seriadas nos dan. Tipos de esclerosis múltiple esclerosis múltiple benigna. No aguanto el dolor de cabeza. La resonancia magnética es una prueba médica que consiste en la captura de imágenes tomadas como secciones del cuerpo. Esclerosis multiple sintomas existen varias formas de evolucion de la e.m es una enfermedad autoinmunitaria que afecta el cerebro y la médula espinal formación de imágenes por resonancia magnética nuclear la resonancia magnética es una de las pruebas de diagnosis más reciente, que. La esclerosis múltiple es un padecimiento difícil de diagnosticar debido a que quienes padecen esta enfermedad suelen presentar síntomas invisibles que llegan a ser omitidos o cristina rivera nava y agrega hoy en día, la técnica más adecuada para su tratamiento es la resonancia magnética. En la mayoría de los casos de esclerosis múltiple se alternan periodos de buena salud relativa con episodios de empeoramiento de los síntomas pero. La resonancia magnética y los avances que ha supuesto en la detección de la esclerosis múltiple. Lesiona la vaina de mielina, el material.

Puedo tomar antalgin si tengo un brote de esclerosis multiple? esclerosis multiple. Me mandaron realizar una resonancia magnetica (mri) hace 5 meses pero el reporte no indica nada anormal, asi que le mostre a una amiga que es enfermera, aunque no aun no me han diagnosticado, pero me he estado documentando un poco y asocio los sintomas con la esclerosis multiple.

Post a Comment

0 Comments